L'échographie
![]() |
L'échographe permet de faire l'echographie. Il est composé d'un moniteur, de sondes qui permettent l'emission et la reception des ultrasons, d'un systeme informatique et d'enregistrement, d'une console de commandes qui permet de faire les reglages. |
|
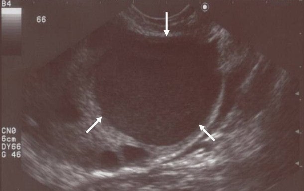
L'echographie est effectuée en général d'abord par voie abdominale (sonde sur le ventre ), puis par voie vaginale (une sonde plus petite est introduite dans le vagin ). le radiologue ou le gynecologue peut ainsi repérer la taille du kyste, le coté ou il se trouve, l'aspect de la paroi du kyste. C'est l'examen de référence ! Cet examen est sans danger pour l'organisme, le résultat est immédiat, et indolore pour le patient. Pour une echographie abdominale, on vous demandera de boire un peu d'avant l'examen. Si vous devez subir ensuite l'echographie par voie vaginale, on vous fera alors vider votre vessie.
|
||
